Phẫu thuật, điều trị thành công cho người bệnh có u tuyến ức kích thước lớn
Mới đây, các bác sĩ Khoa Phẫu thuật - Can thiệp tim mạch & Lồng ngực, Bệnh viện Việt Nam - Thụy Điển Uông Bí đã thực hiện thành công ca phẫu thuật điều trị u tuyến ức không nhược cơ kích thước lớn cho một bệnh nhân nam, 47 tuổi.

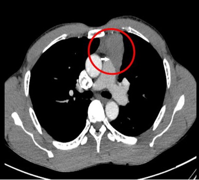
Kết quả chụp CT scanner ngực cho thấy hình ảnh khối u trung thất trước (Vùng khoanh tròn màu đỏ)
Ông Lê Văn M., 47 tuổi, trú tại xã Tràng Lương, thị xã Đông Triều. Khoảng nửa năm nay ông thường hay ho khan, tức ngực, khó thở. Tuy nhiên ăn ngủ vẫn bình thường, không gầy sút cân, không có biểu hiện của bệnh nhược cơ. Tháng 11-2020, ông M. đi khám tại Trung tâm Y tế thị xã Đông Triều, sau chụp cắt lớp vi tính cho kết quả u trung thất trước và được chuyển Bệnh viện Việt Nam - Thuỵ Điển Uông Bí điều trị. Qua thăm khám, làm các xét nghiệm cần thiết, người bệnh được chẩn đoán u trung thất trước, có chỉ định phẫu thuật cắt bỏ khối u và tuyến ức.

Khối u trung thất trước kích thước 11x5cm sau khi được cắt bỏ.
Các bác sĩ khoa Phẫu thuật - Can thiệp tim mạch & Lồng ngực Bệnh viện cho biết, trường hợp người bệnh M. khối u đã tiến triển ở giai đoạn muộn. Khối u lớn lệch trái, dạng đặc, bờ chia thùy múi, đè, xâm lấn vào màng phổi trái khiến người bệnh ho khan, tức ngực, khó thở. Người bệnh đã được lựa chọn đường mổ ½ giữa xương ức kết hợp mở ngực trái để cắt u và tuyến ức. Với đường mổ này thì phẫu trường rộng rãi đảm bảo lấy được u và tuyến ức triệt để, an toàn, đồng thời giảm thiểu tổn thương xương ức, giúp người bệnh hồi phục sớm sau mổ. Sau 2 giờ phẫu thuật, các bác sĩ đã lấy bỏ thành công khối u và tuyến ức kích thước 11x5cm cho người bệnh, gửi làm giải phẫu bệnh. Kết quả xác định u tuyến ức tuýp B2 giai đoạn Masaoka II, được chỉ định xạ trị tiếp sau mổ.
Sau phẫu thuật, người bệnh không còn ho, khó thở, sức khoẻ ổn định và đã được xuất viện. Dự kiến người bệnh sẽ tiếp tục xạ trị theo phác đồ tại Trung tâm Ung bướu của Bệnh viện.
Sau phẫu thuật, người bệnh dứt ho, sức khoẻ ổn định và đã được ra viện.
U tuyến ức là u biểu mô hiếm gặp của tuyến ức, trong đó u trung thất trước thường gặp nhất, chiếm 47%. Để điều trị u tuyến ức, phẫu thuật cắt u và tuyến ức là phương pháp được ưu tiên lựa chọn hàng đầu. Đây là một phẫu thuật khó, đòi hỏi các thao tác hết sức chuẩn xác, khéo léo do u nằm sát các mạch máu lớn và thần kinh. Những năm qua, khoa Phẫu thuật - Can thiệp – Tim mạch & Lồng ngực Bệnh viện đã điều trị thành công cho nhiều trường hợp mắc u tuyến ức.
Bệnh viện Việt Nam - Thụy Điển Uông Bí
Tin tức khác
- Uông Bí: Kết nối việc làm, định hướng tương lai cho học sinh, sinh viên
- Phường Uông Bí quyết tâm hoàn thành giải phóng mặt bằng dự án mở rộng Bệnh viện Việt Nam - Thuỵ Điển Uông Bí trong tháng 4/2026
- Phòng chống nước cho trẻ em trong mùa hè
- Ban hành quy định mới về công tác chính trị, tư tưởng trong Đảng
- Ngân hàng BIDV Chi nhánh Tây Nam Quảng Ninh: Trao tặng 2 xe điện chở bệnh nhân nội khu cho Bệnh viện Việt Nam – Thụy Điển Uông Bí
- Đồng chí Đào Ngọc Sơn – PBT Thường trực Đảng ủy kiểm tra tiến độ thực hiện Dự án Nâng cấp đường giao thông, rãnh thoát nước đoạn đường tổ 39A, 39B khu Quang Trung 11
- Sở GD&ĐT Quảng Ninh công bố chỉ tiêu tuyển sinh vào lớp 10 năm học (2026 - 2027) của các trường THPT trên địa bàn tỉnh
- Rà soát đánh giá hiện trạng sử dụng đất trong phạm vi thực hiện Dự án Tuyến đường sắt tốc độ cao Hà Nội - Quảng Ninh
- Thành viên Chính phủ nhiệm kỳ 2026-2031
- Sốt xuất huyết: phát hiện sớm để tránh biến chứng
- Đề xuất mới về vị trí việc làm của viên chức
- Công bố Bộ công cụ DeepEduBench đánh giá năng lực dạy và học của mô hình AI trong tiếng Việt